質の高い歯科治療と予防管理で
茂原の皆さまの健康を
生涯にわたって支えます。
当院での診療内容

気づきにくい小さなサインこそ
早めのサポートが大切です
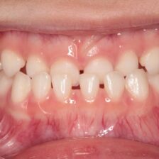
口腔機能発達不全症とは、食べる・飲み込む・話す・呼吸するなどのお口の機能が、成長過程でうまく発達していない状態をいいます。
保護者の方が「癖かな?」「そのうち治るかな?」と思っていることの中に、実はサポートが必要なサインが隠れていることもあります。
お口がぽかんと開く
食事にとても時間がかかる
発音が少し聞き取りにくい

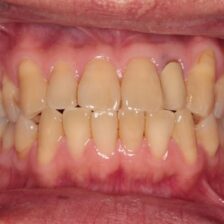
「年齢のせい」とあきらめない
お口の衰え対策
口腔機能低下症は、加齢や生活習慣などにより、噛む力・飲み込む力・舌や唇の動きが少しずつ低下していく状態です。
自覚しにくいことも多く、「気づいたときには食事がつらくなっていた」というケースも少なくありません。
食事中にむせやすい
食べこぼしが増えた
会話中に滑舌が悪くなった
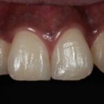
歯科医師、歯科衛生士ともに、マイクロスコープを使用
細部まで妥協しない
精密で、高品質な歯科医療

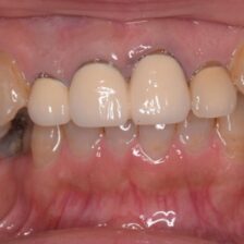
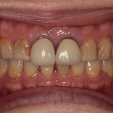
精密根管治療により、
歯を残せる可能性を最大限に
ダイレクトボンディングなどの
審美治療も高精度に対応
歯周外科治療やメンテナンス
までマイクロスコープを使用
肉眼では見えない細かな部分まで拡大して確認できるため、削りすぎを防ぎ、再発リスクを抑えた質の高い治療が可能です。
治療だけでなく、歯科衛生士による予防・メンテナンスにもマイクロスコープを活用し、細部まで丁寧にケアを行っています。

治療内容が分からないまま進むことに、不安を感じる方は少なくありません。
当院では、カリーナシステムを活用し、治療前・治療中・治療後の状態を静止画や動画で記録。実際の映像を一緒に見ながら、分かりやすく丁寧にご説明します。
写真・動画で「見える説明」
治療前・中・後の丁寧な説明
初診は専任カウンセラーが対応
たけ歯科クリニックは、国が定める施設基準「口管強」「外安全」「外感染」の届出を行っている、予防重視の歯科医院です。
むし歯や歯周病の予防はもちろん、口腔機能低下症・口腔機能不全症にも力を入れ、年齢を重ねても「食べる・話す・笑う」力を守るサポートを行っています。
口腔機能管理体制強化加算
歯科外来診療医療安全対策加算
歯科外来診療感染対策加算


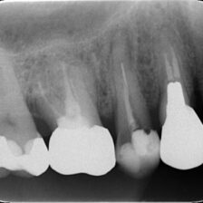
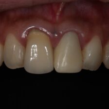
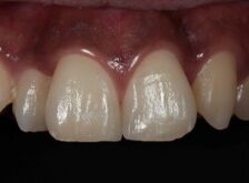
当院ではCT・マイクロスコープ・セファロなどの精密検査機器を活用し、歯を残すための選択肢をできる限りご提案します。
歯髄温存治療(MTA)や歯冠長延長術、矯正的挺出など、専門的な治療にも対応。
また、痛みに配慮した麻酔方法で、安心して治療を受けていただけます。
歯を残すための精密診断と専門治療
MTAによる歯髄温存治療に対応
表面麻酔・極細針で痛みを最小限に
治療設備と環境
歯科医院は、「痛くなってから仕方なく行く場所」というイメージをお持ちの方も、まだ多いかもしれません。
私自身、歯科医師として多くの患者さんと向き合う中で、
「もっと早く来ていれば、歯を残せたのに」
「きちんと説明を受けていれば、こんなに不安にならずに済んだのに」
という場面を何度も目にしてきました。
だからこそ、たけ歯科クリニックでは、一人ひとりに親身に向き合い、分かりやすく説明し、納得して治療を受けていただくこと を何より大切にしています。
地域の皆さまにとって、気軽に相談できて、安心して通える歯科医院 であり続けられるよう、スタッフ一同、丁寧で誠実な医療を心がけてまいります。