ジルコニアクラウン症例:70代女性:前歯の色が気になる。

   

治療前後の写真

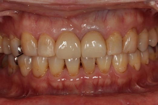
治療前

千葉県茂原市の歯医者、たけ歯科クリニックのジルコニアクラウン症例

治療後

千葉県茂原市の歯医者、たけ歯科クリニックのジルコニアクラウン症例

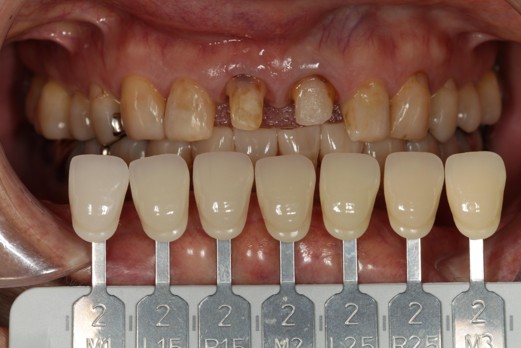
シェードテイキング

千葉県茂原市の歯医者、たけ歯科クリニックのジルコニアクラウン症例

治療の概要

年齢・性別

70代 女性

ご相談内容

前歯の色が気になる。

カウンセリング・診断結果

保険診療ではプラスチックや金属を使用するため、経年的な変色や歯肉の黒ずみが避けられない側面があります。
対してジルコニアは、天然歯に近い透光性を長期間保ち続け、非常に優れた強度と生体親和性を兼ね備えています。
金属アレルギーの心配がなく、表面に汚れが付着しにくいため、美しさだけでなく将来的な歯周組織の健康維持にも大きく寄与します。

行ったご提案・治療内容

保険の素材による将来的な変色や歯茎の黒ずみを避け、健康で美しい状態を長く保つために、ジルコニアでの治療を希望されました。

治療期間

2か月

治療回数

4回

治療費

ジルコニアクラウン 320.000円(160.000円×2本) 税別

治療のリスク・注意点

素材の硬質さゆえに対合歯の摩耗や除去の困難さはございますが、精密な咬合調整で配慮いたします。
良好な状態の維持とトラブル防止のため、治療後の定期メンテナンスの継続が不可欠となります。

 



たけ歯科クリニック:https://takeshika.jp/

〒297-0033 千葉県茂原市大芝595−1
電話:0475-47-3876

交通アクセス
JR茂原駅より徒歩20分、車で7分(駐車場あり)

PAGE TOP