エクストルージョン症例:50代女性:前歯の色が気になる。
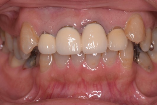
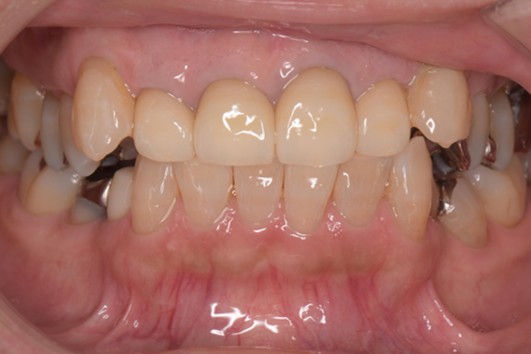
治療前後の写真
|
治療前 ![]() |
治療後 ![]() |
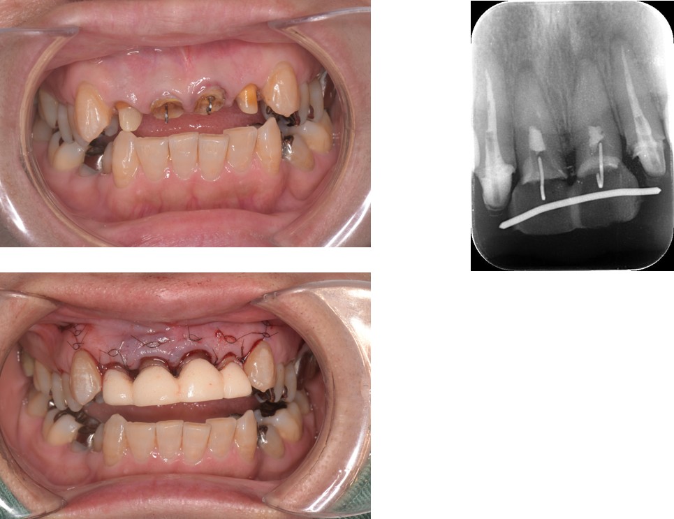
治療中の写真
治療の概要
|
年齢・性別 |
50代 女性 |
|
ご相談内容 |
前歯の色が気になる。 |
|
カウンセリング・診断結果 |
補綴物を除去した結果、健全な歯質が歯肉に埋もれており、被せ物の維持に不可欠な「フェルール(歯を囲む構造)」が不足している状態です。 |
|
行ったご提案・治療内容 |
まず対象の歯にフックを装着し、両隣の歯に橋渡ししたワイヤーなどを支点にして、ゴムやスプリングの力で歯をゆっくりと上方へ引き上げていきます。 |
|
治療期間 |
6か月 |
|
治療回数 |
12回 |
|
治療費 |
エクストルージョン 160,000円 |
|
治療のリスク・注意点 |
装置をつけている間は、お口の中に少し違和感があったり、装置の周りに汚れが溜まりやすくなったりと、患者様にご協力をお願いする場面も増えてしまいます。 |
たけ歯科クリニック:https://takeshika.jp/
〒297-0033 千葉県茂原市大芝595−1
電話:0475-47-3876
交通アクセス
JR茂原駅より徒歩20分、車で7分(駐車場あり)


