精密歯周外科症例:50代女性:全体的に歯茎から血が出る。
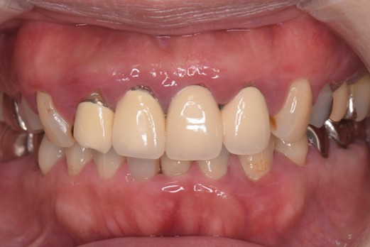
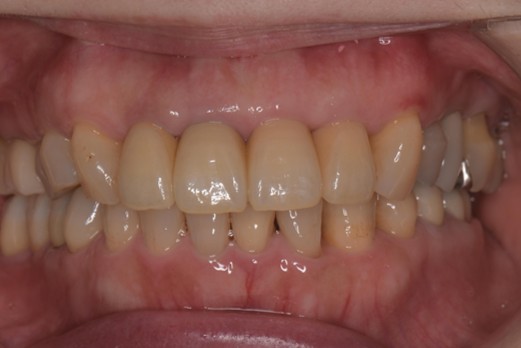
治療前後の写真
|
治療前 ![]() |
治療後 ![]() |
治療の概要
|
年齢・性別 |
50代 女性 |
|
ご相談内容 |
全体的に歯茎から血が出る。 |
|
カウンセリング・診断結果 |
現在の口腔内状況を拝見したところ、歯周病が重症化しており、歯を支える土台となる骨の吸収が進行している非常に深刻な状態にあります。このまま放置すれば、ドミノ倒しのように次々と歯を失うリスクが極めて高いと言わざるを得ません。 |
|
行ったご提案・治療内容 |
深刻な重症度を考慮し、当院では抜歯を回避するための最善策として、自由診療による歯周外科をご提案いたします。 |
|
治療期間 |
3か月 |
|
治療回数 |
6回 |
|
治療費 |
CT診断 15,000円 |
|
治療のリスク・注意点 |
外科処置に伴う術後の一時的な痛みや腫れ、出血の可能性に加え、炎症が治まり歯肉が引き締まる過程で、歯の根が露出することによる知覚過敏が生じるリスクがございます。 |
たけ歯科クリニック:https://takeshika.jp/
〒297-0033 千葉県茂原市大芝595−1
電話:0475-47-3876
交通アクセス
JR茂原駅より徒歩20分、車で7分(駐車場あり)


