小児矯正(プレオルソ)症例:5歳女性:歯並びが悪い
治療前後の写真
|
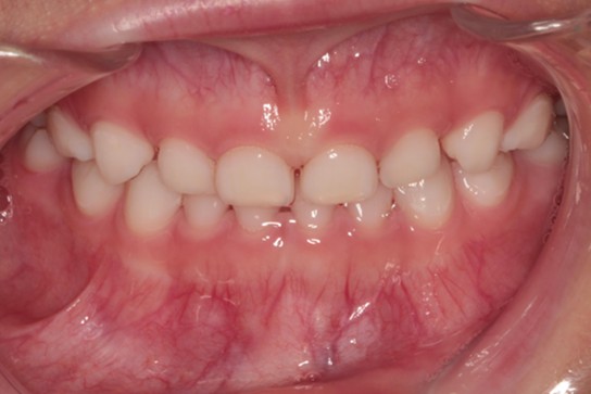
治療前 ![]() |
治療後 ![]() |
|
10年経過後 ![]() |
治療の概要
|
年齢・性別 |
5歳 女性 |
|
ご相談内容 |
歯並びが悪い |
|
カウンセリング・診断結果 |
現在は唇の圧迫が強いために、上の前歯が内側へ押し込まれて反対咬合になっています。 |
|
行ったご提案・治療内容 |
そこで、プレオルソという装置を使い、強すぎる唇の力を外側からブロックして上の歯が前方へ出やすい環境を整えていきます。 |
|
治療期間 |
12ヶ月 |
|
治療回数 |
12回 |
|
治療費 |
100,000円(税別)+調整料 |
|
治療のリスク・注意点 |
あくまで顎の成長や筋肉のバランスを整える装置ですので、個々の歯の細かなねじれを治すには、将来的にワイヤー矯正などが必要になる可能性があります。 |
|
クリニックより |
今きれいに並んでいるのは、トレーニングを通じて唇や舌の正しい使い方が身についた証拠でもあります。 |
たけ歯科クリニック:https://takeshika.jp/
〒297-0033 千葉県茂原市大芝595−1
電話:0475-47-3876
交通アクセス
JR茂原駅より徒歩20分、車で7分(駐車場あり)




