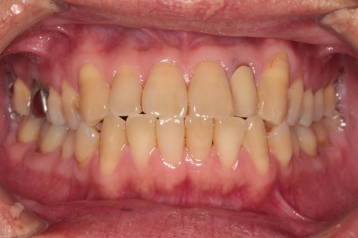
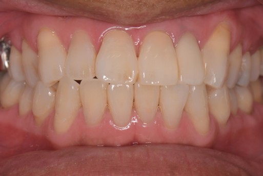
ホワイトニング症例:40代男性:歯の色が気になる
治療前後の写真
|
治療前 ![]() |
治療後 ![]() |
|
6年経過後 ![]() |
治療の概要
|
年齢・性別 |
40代 男性 |
|
ご相談内容 |
歯の色が気になる |
|
カウンセリング・診断結果 |
短期間で効果を実感しやすいオフィスホワイトニングや、持続性の高いホームホワイトニング、あるいはその両方を組み合わせたデュアルプランの中から、ライフスタイルに最適な手法をご提案いたしました。 |
|
行ったご提案・治療内容 |
歯科医院で一気に白さを引き上げる「オフィス」と、自宅でじっくり薬剤を浸透させる「ホーム」を組み合わせるため、単体で行うよりも格段に色ムラがなく、透明感のある仕上がりになります。 |
|
治療期間 |
2週間 |
|
治療回数 |
4回 |
|
治療費 |
50,000円(税別)/1床 |
|
治療のリスク・注意点 |
ホワイトニングには、一時的に歯が過敏になり、冷たいものや熱いものがしみる「知覚過敏」のリスクが伴います。 |
|
クリニックより |
デュアルホワイトニングで手に入れたその透明感のある白さは、ご自宅での丁寧なケアがあってこそ。 |
たけ歯科クリニック:https://takeshika.jp/
〒297-0033 千葉県茂原市大芝595−1
電話:0475-47-3876
交通アクセス
JR茂原駅より徒歩20分、車で7分(駐車場あり)




