破折ファイル除去症例:50代男性:他院でファイル破折のため根管治療が継続できない、抜歯が必要だと言われ
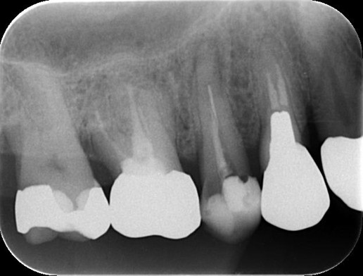
治療前後の写真
|
治療前 ![]() |
治療後 ![]() |
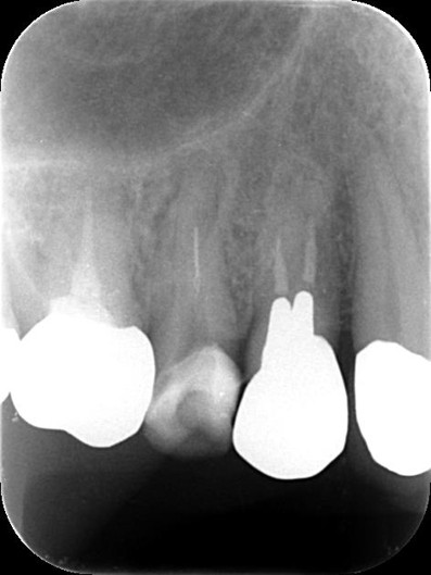
|
ファイル除去前 ![]() |
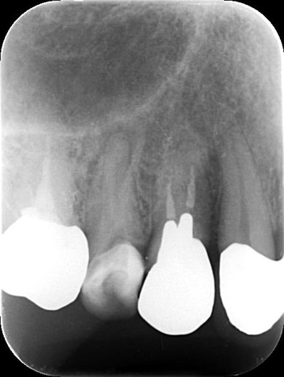
ファイル除去後 ![]() |
症例動画
治療の概要
|
年齢・性別 |
50代 男性 |
|
ご相談内容 |
他院でファイル破折のため根管治療が継続できない、抜歯が必要だと言われました。 |
|
カウンセリング・診断結果 |
レントゲンで確認すると、ファイルが破折している可能性が確認できました。 |
|
行ったご提案・治療内容 |
精密検査の結果、折れた器具の見える位置にありますのでマイクロスコープを使い、自費診療の器具を用いれば除去できる可能性があります。 |
|
治療期間 |
2週間 |
|
治療回数 |
2回 |
|
治療費 |
マイクロスコープ診断 10,000円(税別) |
|
治療のリスク・注意点 |
精密な機材を用いても、器具の状態によっては安全に除去しきれない場合があります。 |
たけ歯科クリニック:https://takeshika.jp/
〒297-0033 千葉県茂原市大芝595−1
電話:0475-47-3876
交通アクセス
JR茂原駅より徒歩20分、車で7分(駐車場あり)





