Emaxクラウン症例:30代女性:前歯中央2本の色や形が気になる
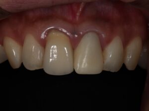
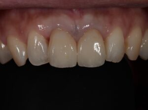
治療前後の写真
|
治療前 ![]() |
治療後 ![]() |
治療の概要
|
年齢・性別 |
30代 女性 |
|
ご相談内容 |
前歯中央2本の色や形が気になる。 |
|
カウンセリング・診断結果 |
保険適応や自費適応の前歯のメリット、デメリットを説明させていただきました。 |
|
行ったご提案・治療内容 |
治療期間、施術費用などを説明させていただき、今回は適合や色の綺麗さに特徴のあるEmaxクラウンを選ばれました。 |
|
治療期間 |
2ヶ月 |
|
治療回数 |
5回 |
|
治療費 |
160,000円/本 合計320,000円(税別) 10年保証 |
|
治療のリスク・注意点 |
e.max(イーマックス)クラウンは、天然の歯に近い白さと透明感があり、見た目を重視した治療に向いています。一方で、強く噛みしめる癖や歯ぎしりがある場合には、欠けたり割れたりする可能性があります。そのため、必要に応じて就寝時にマウスピースの使用をお願いすることがあります。また、土台の歯が黒く変色している場合には、色が透けて見えることがあります。なお、この治療は保険適用外の自費診療となります。治療後も長く安心して使っていただくために、定期的な検診とメンテナンスが大切です。 |
たけ歯科クリニック:https://takeshika.jp/
〒297-0033 千葉県茂原市大芝595−1
電話:0475-47-3876
交通アクセス
JR茂原駅より徒歩20分、車で7分(駐車場あり)


