ダイレクトボンディング症例:20代男性:歯の隙間が気になる
2026/01/08
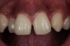
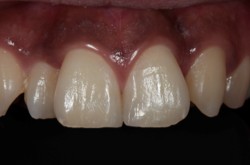
治療前後の写真
|
治療前 ![]() |
治療後 ![]() |
治療の概要
|
年齢・性別 |
20代 男性 |
|
ご相談内容 |
歯の隙間が気になる。 |
|
カウンセリング・診断結果 |
歯の隙間を埋める方法は矯正治療、セラミック治療、ダイレクトボンディングの3つを提案させていただき、それぞれのメリット、デメリットを説明。 |
|
行ったご提案・治療内容 |
治療期間、施術費用、歯を削合の有無などを説明させていただき、今回は歯の削合なしで治療期間が短いダイレクトボンディングを選ばれました。 |
|
治療期間 |
2週間 |
|
治療回数 |
2回 |
|
治療費 |
60,000円/本 合計120,000円(税別) 2年保証 |
|
治療のリスク・注意点 |
ダイレクトボンディングの主なリスクは、欠ける・外れる可能性があること、経年的な変色や摩耗、強い力がかかると破折しやすいことです。また、適応症が限られるため、状態によっては長期的な安定性に欠ける場合があります。そのため 定期的なメンテナンスが必須となります。 |
たけ歯科クリニック:https://takeshika.jp/
〒297-0033 千葉県茂原市大芝595−1
電話:0475-47-3876
交通アクセス
JR茂原駅より徒歩20分、車で7分(駐車場あり)


