ダイレクトボンディング症例:40代女性:歯の隙間が気になる
治療前後の写真
|
治療前 ![]() |
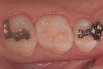
治療後 ![]() |
|
治療中 ![]() |
症例動画
治療の概要
|
年齢・性別 |
40代 女性 |
|
ご相談内容 |
歯が染みる。 |
|
カウンセリング・診断結果 |
今回の虫歯の治療には、保険の白い詰め物と、ダイレクトボンディング、セラミック治療の選択肢があります。 |
|
行ったご提案・治療内容 |
治療内容、治療時間、ラバーダム使用による精度、見た目や歯の保存性について理解されたうえで、患者さんはダイレクトボンディングによる治療を希望されました。 |
|
治療期間 |
90分 |
|
治療回数 |
1回 |
|
治療費 |
60,000円(税別) |
|
治療のリスク・注意点 |
ダイレクトボンディングは、歯をできるだけ削らず、見た目も自然に仕上がる治療方法ですが、いくつか注意点があります。 |
たけ歯科クリニック:https://takeshika.jp/
〒297-0033 千葉県茂原市大芝595−1
電話:0475-47-3876
交通アクセス
JR茂原駅より徒歩20分、車で7分(駐車場あり)




